Cavalancia Orthodontics

Spacing

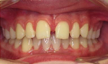
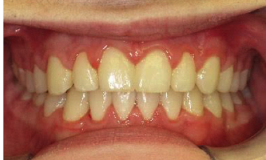
Spaces or "gaps" between teeth are quite common and easily corrected by your orthodontist with orthodontic appliances such as braces. READ MORE

Still need an appointment?
If you have difficulty using our website, please email us or call us at (724) 463-7700
View the ADA Accessibility Statement