Cavalancia Orthodontics

Aligner Treatment

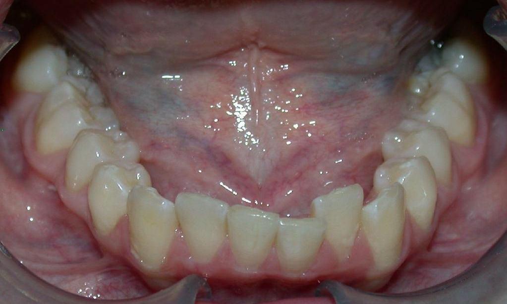
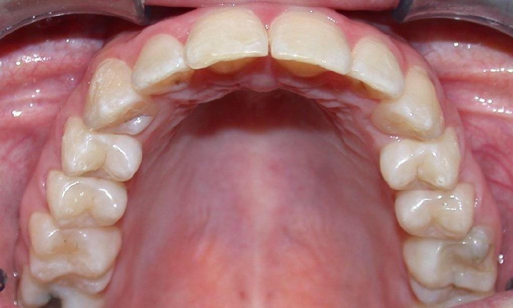
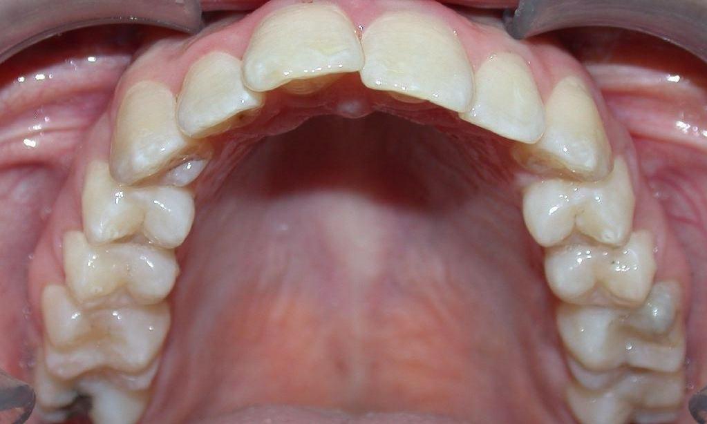
Utilizing removable invisible aligners from your orthodontist, this case was treated in less than three months. READ MORE

Ready to book an appointment?
If you have difficulty using our website, please email us or call us at (724) 463-7700
View the ADA Accessibility Statement